All-On-4 Full Arch Implants
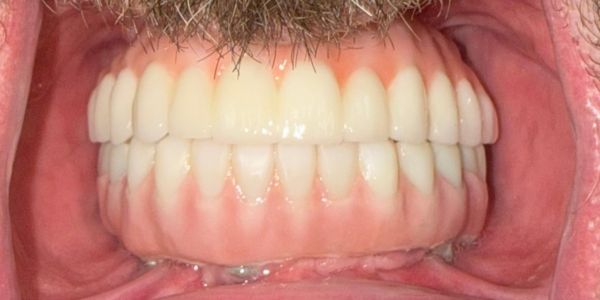
Todds’s Smile Transformation
When Todd came to see us, he didn’t like his smile. In addition to how it looked, he was experiencing pain and discomfort.
Todd came to Cleveland Smile Center because he didn’t want to be embarrassed by his smile, and wanted a healthy and properly functioning set of teeth. To help improve how his smile, Todd got All-On-4 Full Mouth implants.
He is very happy with the results of the All-On-4 Full Mouth Implants and the work of Dr. Sam.
Find out more about All-On-4 Full Arch Implants.
Have a question? Reach out to us!





