See Our Smile Transformations

Real People, Stunning Results!

At Cleveland Smile Center, we love working with our patients to help transform their smiles. Our world-class team of dentists are easily able to fix even the most severe cases of missing teeth or dental damage including issues such as cracked, discolored and diseased teeth.

Dental technology has made incredible smile makeovers possible for so many of our patients. It is our mission to provide our patients with smile of their dreams! Our dazzling Smile Gallery provides photos and videos to show the dental techniques we use to provide life changing results.

Explore the profiles below to meet each of our patients and hear their story.  You can also hear patient testimonials as well.

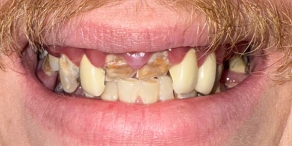
All-On-4 Full Mouth Implants

Jennifer – All-On-4 Full Mouth Implants

Jennifer Full Smile Before Jennifer Full Smile After

Leanne – All-On-4 Full Arch Implants

Leanne Full Smile Before Leanne Full Smile After

Jeff – All-On-4 Full Arch Implants

Jeff Full Smile Before Jeff Full Smile After

Jessica – All-On-4 Full Arch Implants

Jessica Full Smile Before Jessica Full Smile After

Bob – All-On-4 Full Arch Implants

Bob Full Smile Before Bob Full Smile After

Kathleen- All-On-4 Full Mouth Implants

Kathleen Full Smile Before Kathleen Full Smile After

Issac – All-On-4 Full Arch Implants

Isaac Full Smile Before Isaac Full Smile After

Todd – All-On-4 Full Arch Implants

Todd Full Smile Before All-On-4 Full Mouth Implants ToddFull Smile After All-On-4 Full Mouth Implants

Implants

Rob – Snap-On Implant Dentures

Rob Before Snap On Implant Dentures Rob After Snap On Implant Dentures

Daniela – Dental Implants and Veneers

Daniela Full Smile Before Daniela Full Smile After

Susie – Snap-On Implant Dentures

Susie Full Smile Before Susie Full Smile After

Brittany – Dental Implants

Brittany before Implants Brittany After Implants

Jennifer – Dental Implants

Jennifer Slider Before Jennifer Slider After

Orthodontics

Sarah – Invisalign

Nehhan – Traditional Braces

Nahhan Full Smile Before Nahhan Full Smile After

Gavin – Clear Aligners

Gavin Before Clear Invisible Aligners Gavin After Clear Invisible Aligners

Christopher – Traditional Braces

Christopher Full Smile Before Crhistopher Full Smile After

Lee – Clear Aligners

Lee Full Smile Before Lee Full Smile After

Cece – Traditional Braces

Cece Full Smile Before Cece Full Smile After

Breanna – Invisalign

Veneers, Crowns and Bridges

Linda – Crowns

Linda - Veneers - Before - Closeup Linda - Veneers - After - Closeup

Dr. Dan – Porcelain Veneers

Dr. Dan Before Porcelain Veneers Dr. Dan After Porcelain Veneers

Tyler – Veneers

Tyler Full Smile Before Tyler Full Smile After

Martha – Crowns and Veneers

Martha Before Crowns Martha After Crowns

Belinda – Crowns, Veneers & Gum Lift

Belinda Full Smile Before Belinda Full Smile After

Amy – Bridges & Crowns

Amy Bridges Before Amy Bridges After

Chris – Veneers

Chris Full Smile Before Chris Full Smile After

Jose – Porcelain Veneers

Jose Full Smile Before Jose Full Smile After

Jaxson – Crown

Jaxson Before Crown Jaxson After Crown

Dentures

Matt – Dentures

Amanda – Dentures

Amanda Full Smile Before Amanda Full Smile After

Kathy – Denture & Partial Denture

Kathy Full Smile Before Kathy Full Smile After

Colin – Dentures

Colin Full Smile Before Dentures Colin Full Smile After Dentures

Gum Lift

Brittney – Gum Lift and Traditional Braces

Brittney Full Smile Before Brittney Full Smile After

Daeja – Gum Lift

Deaja Full Smile Before Deaja Full Smile After

Belinda – Gum Lift, Crowns & Veneers

Belinda Full Smile Before Belinda Full Smile After

Cosmetic Procedures

Jess – Botox and Lip Fillers

Jess Before 800 Jess After 800

Stephanie – Botox