Dental Implants and Clear Aligners
Brittany’s Smile Transformation
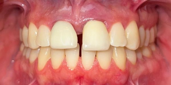
Brittany came to Cleveland Smile Center and wanted to feel better about her smile. After her consultation, she got clear aligners and eventually dental implants to help with the gap in her front teeth.
She loves her smile and thinks that “Dr. Sam did an amazing job!”
Have a question? Reach out to us!





