Dentures
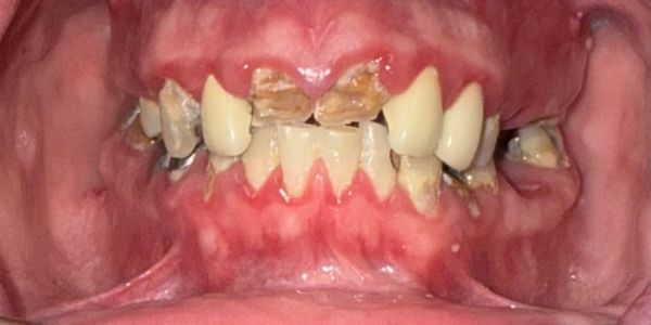
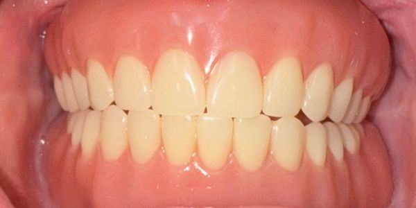
Colin’s Smile Transformation
When Colin came to Cleveland Smile Center, he wanted to not only have a nice looking smile, but also a healthy smile. After his consultation, we decided on the best option that would also work within his budget.
We made him beautiful, same-day dentures that were delivered on the day that all of his teeth were gently removed. Colin was able to reshape his life while trusting our amazing team to reshape his smile in just one day!
Have a question? Reach out to us!





