Veneers
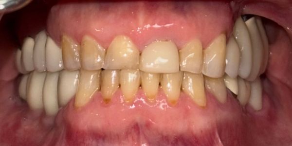
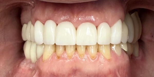
Dr. Dan’s Smile Transformation
As one the dentists at Cleveland Smile Center, Dr. Dan knew he was in good hands when he decided to get Porcelain Veneers.  It was something he had thought about doing for a long time. Dr. Sam was able to do the procedure for his dad.
Now Dr. Dan smiles even wider because he loves how his new veneers make his smile look.
Find out more about Porcelain Veneers.
Have a question? Reach out to us!





